Відбілювання

Професійне відбілювання Philips-Zoom

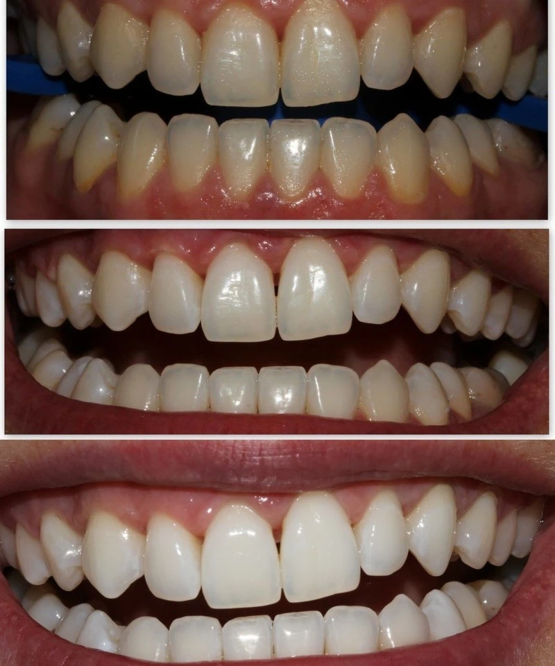
Philips Zoom — це унікальна можливість відбілити ваші зуби однією з найпопулярніших та найефективніших систем у світі.

#2. Професійне відбілювання Philips-Zoom

Ми пропонуємо вам швидкий спосіб відбілювання зубів за допомогою системи Zoom від Discus Dental (США). Протягом десятиліть компанія спеціалізується на дослідженнях, розробці та виробництві професійних систем відбілювання, номер 1 у світі, від домашнього відбілювання із застосуванням кап, до відбілювання зубів за допомогою спеціальної лампи Zoom, яка Дозволяє змінити колір до 10 відтінків за шкалою Vita.

Що таке відбілювання Philips-Zoom?

Відбілювання - це процедура, яка дозволяє значно відбілити колір Ваших зубів. Якщо процедура проводиться професійними лікарями, відбілювання не шкодить зубам або яснам. У більшості випадків досягається значний ефект лікування, але очікуваний результат НЕ ЗАВЖДИ МОЖНА ГАРАНТУВАТИ! Відбілювання, як і багато інших процедур, несе певні ризики та обмеження. Незважаючи на те, що це рідко є серйозною причиною відмовитись від процедури, важливо врахувати їх, перш ніж приймати рішення про використання системи. Існує багато різних факторів, які можуть вплинути на результат відбілювання: типи потемніння зубів, ступінь дотримання інструкцій та загальний стан зубів.

Хто є найкращими кандидатами для відбілювання?

Майже всі пацієнти можуть пройти процедуру відбілювання . Досвід показує, що люди з темно-жовтими та жовтувато-коричневими зубами досягають кращих результатів відбілювання, ніж люди з сірими або синьо-сірими зубами. Різнокольорові зуби, особливо з «тетрацикліновими плямами», важче відбілюються. Однак зуби з численними пломбами,карієсом, сколами тощо краще лікувати вінірами, або керамічними коронками.

Що потрібно від Вас?

Слідкуйте за відведеним часом. У випадках, коли для клінічного відбілювання потрібно більше одного візиту, між процедурами повинен пройти один-два тижні. В іншому випадку ефективність процедури значно знижується. Носіть відбілюючі капи. Якщо Ви виберете домашнє відбілювання, тоді, це буде ефективно лише в тому випадку, якщо ви регулярно носите відбілюючі капи, які потрібно носити щодня протягом певної кількості годин. Зверніться до свого стоматолога, якщо ви відчуваєте сильний дискомфорт або інші проблеми через відбілювання.

Перевагами Офісної системи Philips Zoom є:

Ефективність:
  • лише одне відвідування стоматолога
  • тривалість процедури відбілювання займає лише одну годину вашого часу;
  • зуби стають світлішими до дванадцяти відтінків;
  • зберігається чудовий результат протягом тривалого часу.
Безпека:
  • найнижча концентрація діючої речовини порівняно з іншими системами відбілювання;
  • не демінералізує емаль;
  • у компонентах гелю містять спеціальні інгредієнти, які знижують чутливість зубів і зміцнюють емаль.
Рекомендуємо перед процедурою відбілювання:
  • пройти консультацію у фахівця;
  • провести професійну гігієну порожнини рота;
  • провести герметизацію прожнин, тріщин, сколів, ерозій, клиновидних дефектів та патологічного стирання зубів.
Увага:
  • коронки, протези, пломби та інші конструкції у порожнині рота не підлягають відбілюванню
  • якщо перед відбілюванням у Вас є старі пломби їх необхідно герметизувати, провести процедуру відбілювання, а після цього можна вже здійснити заміну існуючих пломб на нові реставрації під новий колір Вашої емалі.
Рекомендації по догляду за зубами після відбілювання:
  • Протягом двох діб після процедури відбілювання потрібно дотримуватись “прозорої дієти” відмовитись від продуктів, що містять барвники- кава, міцний чай, ягоди, червоне вино, борщ,шоколад, тощо, рекомендовано відмовитись від паління на цей час.
  • Щоб зберегти білосніжну посмішку на тривалий час Вам необхідно чітко дотримуватись гігієни порожнини рота у домашніх умовах , та приходити на професійну гігієну порожнини рота до свого стоматолога один раз на шість місяців.